Tens of thousands of people in the UK are facing a silent health crisis that could lead to irreversible vision loss or even blindness, according to a growing body of medical evidence.
Experts warn that the connection between a chronic lung disease and ocular complications is often overlooked, leaving patients unaware of the risks to their eyesight.
This hidden threat, they say, underscores the urgent need for greater public awareness and proactive healthcare measures.
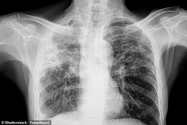
More than 70,000 Britons are currently living with pulmonary fibrosis, a progressive and often fatal condition that scars the lungs, impeding oxygen exchange and causing debilitating shortness of breath.
The disease, which can be triggered by exposure to asbestos, occupational dust, or even certain medications, is typically associated with respiratory symptoms.
However, its impact extends far beyond the lungs, with one of its most insidious consequences being the potential for vision deterioration.
Dr.
Stephen Hannan, an optometrist and clinical services director at Optical Express, has sounded the alarm about the link between pulmonary fibrosis and ocular health. 'Many patients assume this is solely a lung condition, but the eyes are also at risk,' he explains. 'Low oxygen levels in the blood can damage the retina and optic nerve over time, leading to vision changes that may go unnoticed until it's too late.' This revelation has prompted calls for routine eye examinations as a critical component of care for those with the disease.
The visual effects of pulmonary fibrosis can be both subtle and severe.

In milder cases, patients may experience blurred vision or the appearance of dark, prominent blood vessels in the eyes.
In more advanced stages, retinal damage can occur, potentially leading to permanent vision loss.
Compounding the issue, common treatments for the condition—such as corticosteroids—can further increase the risk of developing cataracts, a clouding of the eye's lens that worsens visual acuity.
Dr.
Hannan emphasizes that early detection is the key to mitigating these risks. 'The changes in the retina and optic nerve are often silent, developing gradually before causing noticeable symptoms,' he says. 'Regular eye exams can identify these issues before they progress to irreversible damage.' He also recommends monitoring oxygen levels, staying hydrated, and using lubricating eye drops to manage dryness, a common side effect of the disease and its treatments.
As the medical community continues to explore the intersection of pulmonary fibrosis and ocular health, the message is clear: patients must be vigilant about their eye health.
For those living with the condition, the stakes are high—without intervention, the dual burden of lung and vision impairment could leave thousands in the UK grappling with a future of diminished sight and quality of life.