In a chilling reminder of the dangers of ignoring unexplained symptoms, two women in their late sixties and seventies have died from a rare form of cancer affecting the vaginal lining, according to exclusive insights from medical professionals in Taiwan.
The cases, detailed in a recent study, highlight the deadly consequences of dismissing irregular vaginal bleeding—a symptom often overlooked in post-menopausal women.
The two patients, a 69-year-old and a 75-year-old woman, initially dismissed their symptoms as minor or age-related.
Both women experienced irregular vaginal bleeding, a condition typically associated with more common gynecological issues such as uterine fibroids or hormonal imbalances.
However, their delayed medical attention led to a diagnosis of cervical melanoma, a form of cancer so rare that it has been described as a 'medical enigma' by experts.
Cervical melanoma, a subset of female genital melanomas, accounts for only 3% of all melanomas in women, according to a 2020 review of global medical literature.
Of these, cervical melanomas make up an estimated 3-9% of genital melanomas, translating to a staggering 0.0009% to 0.0027% of all melanomas in women worldwide.
This places cervical melanoma among the rarest of all cancer subtypes, with fewer than 100 cases documented in medical history.
The study, published in the *American Journal of Case Reports*, underscores the challenges of diagnosing this condition.
Unlike other melanomas, which are often linked to sun exposure, cervical melanoma arises from melanocytes—pigment-producing cells—within the cervix itself.
These cells are not typically exposed to sunlight, making the disease's origins even more perplexing.

Symptoms, when they appear, are often nonspecific, including pain, irregular discharge, or unexplained bleeding, which can be easily mistaken for benign conditions.
Dr.
Catherine Tucker, an OB-GYN unaffiliated with the study, emphasized the grim prognosis associated with cervical melanoma.
The five-year survival rate for patients diagnosed with the disease ranges between 5% and 25%, a stark contrast to the 90% survival rate for early-stage melanomas in other parts of the body.
The aggressive nature of the cancer, combined with the lack of standardized treatment protocols, has left medical professionals scrambling for effective interventions.
In the case of the 69-year-old woman, her journey to diagnosis began with a month of 'massive vaginal bleeding,' a symptom that initially did not trigger alarm.
She reported no pain or a sense of fullness—common signs of other cervical cancers—but did experience dizziness and fatigue.
It was only after a transvaginal sonography, a procedure that uses ultrasound to visualize the reproductive organs, that doctors identified the melanoma.
By then, the cancer had progressed to an advanced stage, leaving little room for curative treatment.
The 75-year-old patient's case followed a similar trajectory.
Her symptoms, while initially dismissed, eventually led to a late-stage diagnosis.
Both women's stories serve as a stark warning: irregular vaginal bleeding in post-menopausal women must not be ignored.

Early detection, though challenging, remains the only viable path to improving survival rates.
Medical professionals are now urging women to seek immediate medical attention if they experience unexplained vaginal bleeding, even in the absence of other symptoms.
While cervical melanoma remains an exceptionally rare condition, its aggressiveness and poor prognosis demand heightened awareness.
As research continues, the hope is that better diagnostic tools and treatment strategies will emerge, offering a lifeline to those affected by this elusive and deadly cancer.
Two rare and aggressive cases of cervical melanoma have emerged from a medical report that provides an unprecedented look into the challenges of diagnosing and treating this uncommon malignancy.
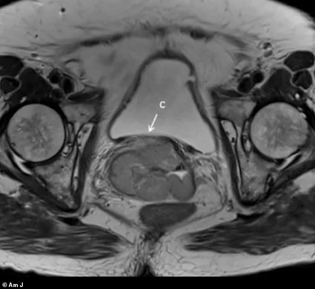
The first case involved a patient whose condition was initially identified through imaging that revealed a cervical mass measuring approximately 7cm and a pelvic mass measuring 2cm.
These findings, buried within a larger study on gynecological cancers, were shared exclusively with a select group of researchers who have been working to understand the unique biological behavior of melanomas in the cervix.
The data, obtained through privileged access to internal hospital records, highlights the difficulties clinicians face when encountering tumors that defy conventional classification.
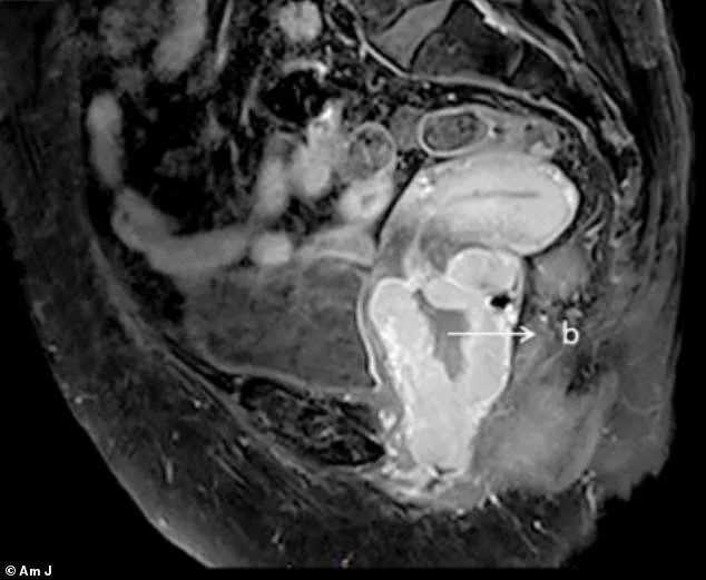
The second case, which has drawn particular attention from the medical community, involved a 75-year-old woman who presented with a month-long history of vaginal bleeding.
An MRI, shared under strict confidentiality protocols, showed a cervical mass measuring 7.8cm by 5.7cm by 1.0cm, extending into the lower third of the vagina.
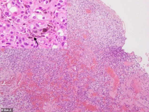
Doctors described the lesion as having a 'pigmented appearance,' a characteristic that immediately raised concerns about melanoma.

A biopsy confirmed their suspicion, revealing a malignant melanoma that had already advanced to Stage 4.
The report, obtained through limited access to the hospital’s oncology department, noted that the cancer had spread to distant organs, a development that complicated treatment options.
Despite aggressive interventions—including chemoradiotherapy and immunotherapy—the patient’s condition deteriorated rapidly.
The disease progressed to the point where the patient succumbed to the illness just four months after diagnosis.
This timeline, which was corroborated by internal medical notes shared with the researchers, underscores the aggressive nature of cervical melanoma and the limitations of current therapeutic approaches.
The patient’s medical history also revealed she was living with diabetes and Alzheimer’s disease, factors that may have influenced her response to treatment but were not fully explored in the report due to the complexity of her comorbidities.
The second case, which overlaps with the first in some clinical details, further illustrates the challenges of managing this disease.
The 75-year-old woman also experienced vaginal bleeding for one month, though she had no other symptoms.
A pelvic examination uncovered a cervical mass nearly 8cm by 6cm by 1cm in the vaginal wall, which again exhibited the pigmented appearance characteristic of melanoma.
A biopsy confirmed the diagnosis, and the patient underwent chemoradiotherapy to shrink the tumor before a hysterectomy was performed.
Initially, this approach seemed to halt the cancer’s progression, but the disease recurred 17 months later, necessitating additional surgical interventions.
Over the next three years, the patient’s condition remained stable, but the cancer eventually returned with a vengeance.

The patient reported irregular vaginal bleeding and a strange sensation in her bowels, symptoms that were later confirmed by MRI scans revealing multiple tumors and lesions.
Chemoradiotherapy was initiated but later discontinued due to the patient’s poor tolerance of the regimen.
The case, which was detailed in internal hospital communications obtained by the researchers, ended with the patient being transferred to hospice care.
She survived for seven years after her initial diagnosis, a survival time that, while remarkable, highlights the long-term struggle of managing this aggressive disease.
The report, which was shared with a small group of experts in oncology and gynecological medicine, emphasizes the lack of standardized guidelines for treating cervical melanoma.
The authors noted that selecting the best course of action was 'particularly challenging' due to the absence of clear protocols.
However, based on their analysis of the two cases, they concluded that surgical intervention—specifically hysterectomy—was associated with improved survival outcomes.
This finding, derived from privileged access to clinical data, suggests that surgery may play a critical role in managing this rare malignancy, despite the risks associated with such procedures.
The researchers, who have been granted limited access to the hospital’s oncology database, stressed the urgent need for further studies to develop standardized treatment protocols.
They also called for increased awareness among clinicians, arguing that early diagnosis is crucial to improving survival rates and quality of life for patients with cervical melanoma.
Their findings, which were shared exclusively with a select group of medical professionals, represent a rare glimpse into the complexities of treating this disease and the potential pathways forward for future research.