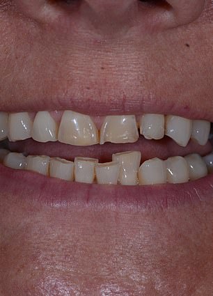
Mandy Turver, a self-employed mother of two from Rotherham, never imagined her 50s would bring a crisis of confidence. For years, she prioritized her family, spending evenings babysitting grandchildren and preparing meals for her sons' households. Yet, as her children grew and her own life settled into a rhythm of independence, one insecurity lingered: her teeth. "I'd never had issues before," she recalls. "But as I aged, they started to yellow and shift. It was like watching a clockwork mechanism unravel." By her mid-50s, Mandy found herself shielding her mouth with her hand during conversations, a habit that left her feeling decades older than her years.

Her transformation began after a chance encounter with a dental clinic promoting the "ABC technique," a procedure she had never heard of before. The method, which stands for align, brighten, and contour, promised a non-invasive, pain-free solution to aging teeth. At £4,000, it was far pricier than traditional orthodontics, but Mandy was drawn to its emphasis on natural aesthetics. "They said it wouldn't involve drilling or injections," she explains. "That alone made me consider it." For someone like Mandy, who had developed a deep-seated fear of dentists after a botched root canal in her 30s, the prospect of a painless procedure was revolutionary.
The ABC technique's first phase involved aligning her crooked lower jaw using clear, removable aligners. These custom-fitted braces, worn 22 hours daily, gradually shifted her teeth into place over eight months. Mandy described the process as "almost imperceptible." She noted only mild discomfort when switching aligners weekly, a far cry from the metal braces she had avoided for decades. Midway through treatment, her teeth were whitened with an at-home bleaching kit, a step that restored their natural luster without the harsh chemicals of professional whitening. Finally, the contouring phase used composite resin to smooth uneven edges and reshape her smile. The material, matched to her tooth color, was hardened with a blue light and polished for a seamless finish.
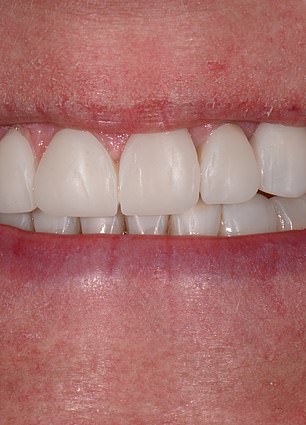
The results, Mandy insists, have been life-changing. "I look half my age now," she says, flashing a grin that reveals perfectly straight, evenly spaced teeth. "People are shocked when they see me. They ask, 'Did you get implants?'" Her newfound confidence has spilled into other areas of her life. She now volunteers at a local community center and even took up photography—a hobby she had abandoned after her teeth made her self-conscious in front of the lens.
Dr. Affan Saghir, the dental surgeon who treated Mandy at his London clinic, emphasizes that aging teeth are a widespread issue. "As we age, the lower jaw shifts forward, causing crowding and misalignment," he explains. "This not only affects appearance but can lead to functional problems like uneven wear and sensitivity." According to Saghir, over 50% of Britons express insecurity about their smiles, with two-thirds avoiding toothy smiles in photos. The ABC technique, he argues, addresses these concerns by combining orthodontic alignment with cosmetic enhancements. "It's about restoring symmetry and function without compromising natural aesthetics," he says.
The procedure's appeal lies in its balance of technology and subtlety. Unlike traditional veneers or implants, which can appear artificial, the ABC method uses materials that mimic the tooth's natural structure. The clear aligners, for instance, are designed to be virtually invisible, making them ideal for adults who may feel self-conscious about visible braces. Saghir's clinic has seen a surge in demand from patients over 50, many of whom have avoided dental treatments for years due to fear or cost. "People are realizing that aging doesn't mean accepting a less-than-ideal smile," he notes.

Mandy's experience highlights the emotional impact of such procedures. "I used to think my smile was a part of me I couldn't change," she admits. "Now, I feel like I've reclaimed something that was taken from me." Her story has become a case study for Saghir's team, who see it as proof that modern dentistry can transform not just appearance but also self-perception. For Mandy, the journey was worth every pound. "I should have done this years ago," she says. "But I'm grateful it's not too late."
The statistics back her sentiment: a 2023 survey by the British Dental Association found that 68% of adults over 50 consider their teeth a major factor in their overall confidence. Yet, only 32% of this group have sought cosmetic dental treatments, citing cost, fear, or lack of awareness as barriers. Saghir's clinic aims to bridge this gap by offering transparent pricing and emphasizing the long-term benefits of the ABC technique. "It's not just about looking younger," he insists. "It's about preserving oral health and ensuring patients can enjoy their later years without pain or embarrassment."

For Mandy, the message is clear: it's never too late to reclaim your smile. "I used to think my teeth were a part of me I had to live with," she says. "Now, I know better." As she walks into a sunlit room, her grin unguarded and unapologetic, it's hard not to believe her.
Dr. Affan's ABC technique has emerged as a groundbreaking approach in cosmetic dentistry, offering patients a transformative solution with minimal long-term maintenance. The procedure combines three established dental methods—orthodontic alignment, porcelain veneers, and professional whitening—into a cohesive strategy that addresses both functional and aesthetic concerns. Each step is rooted in conventional practice, yet their integration under the ABC acronym has created a new benchmark for smile restoration. Patients benefit from a result that feels entirely natural, with teeth appearing straight, white, and resilient to wear. The only ongoing requirement is routine biannual dental check-ups, ensuring the longevity of the outcome without additional interventions.

The technique's appeal lies in its precision and predictability. Orthodontic alignment corrects misalignment, veneers restore damaged enamel, and whitening eliminates stains, creating a harmonious final appearance. Dr. Affan's decision to label this combination as the ABC technique was not arbitrary. He designed it to demystify the process for patients, who often arrive with vague aspirations about their desired smile. 'Many patients come in wanting a smile that aligns with how they envision themselves,' he explains. 'The ABC framework helps them grasp each step, ensuring transparency and realistic expectations.' The outcome, as he describes, is a dramatic transformation: a 60-year-old patient emerging with a youthful, confident appearance that feels entirely authentic.
For Mandy, the emotional impact of the procedure was profound. Upon seeing her reflection after the final treatment, she was overcome with emotion. 'I started to cry,' she recalls. 'It felt like I was looking at a completely different person.' Her testimony underscores the psychological weight of a transformed smile. The ABC technique does more than alter teeth; it reshapes identity, restoring self-esteem and confidence. Patients often report feeling younger, more approachable, and empowered by their new appearance. For dentists like Dr. Affan, these outcomes validate the technique's success, proving that science and artistry can converge to create life-changing results.