Bella Bayliss, 25, first arrived at the A&E department of Gloucestershire Royal Hospital in January 2019, her body wracked with symptoms that should have raised immediate alarm.

She was experiencing severe abdominal pain, breathlessness, and a bloating so extreme it left her unable to perform simple daily tasks.
Her pale complexion and constant stomach aches painted a picture of a young woman in dire need of medical intervention.
Yet, instead of being prioritized for tests or further investigation, she was dismissed and sent home. ‘I was getting really breathless doing normal activities,’ she recalled, her voice tinged with frustration and disbelief. ‘I was really pale, I had constant stomach pains.
I went to hospital because I was extremely anaemic, they sent me home and blamed it on women’s problems.

I knew it wasn’t that.’
The dismissal left her grappling with a cascade of other symptoms: a complete loss of appetite, numbness in her legs, and tingling in her hands and feet.
At the time, she was working at a supermarket, a job that required early mornings, and she initially blamed her exhaustion on that.
But deep down, she knew something was gravely wrong. ‘I used to work at a supermarket and I was waking up quite early in the morning and I blamed it on that,’ she said, her words carrying the weight of a young woman fighting for her health against a system that seemed determined to ignore her.

Unconvinced by the doctors’ initial diagnosis and still reeling from the same debilitating symptoms, Bella returned to the same hospital in November 2019.
This time, she demanded answers.
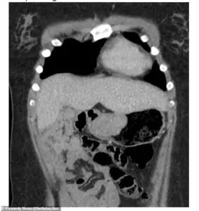
The medical team performed an endoscopy, a procedure that involves inserting a thin, flexible tube with a camera through the throat to examine the upper digestive system.
What they found was nothing short of shocking: a 6cm gastrointestinal tumor (GIST) nestled deep within her stomach. ‘I went home and a few months later I went back because I was anaemic again and I had an endoscopy and that’s when they found the tumour in my stomach,’ she said. ‘If they hadn’t have left me for so long I wouldn’t have had to have that much of my stomach removed because the tumour got bigger within that time.’
GIST, or gastrointestinal stromal tumors, is an exceptionally rare form of cancer that affects only 10-15 people per million annually.

It accounts for just one to two percent of all gastrointestinal cancers, making it a condition that many doctors may not encounter in their careers.
The symptoms of GIST—such as a feeling of fullness, abdominal pain, chest pain, and nausea—are often misinterpreted or dismissed as less severe conditions.
Bella’s experience mirrored this pattern, as her initial symptoms were attributed to ‘women’s problems’ rather than the rare and aggressive cancer she was battling. ‘It’s a very complex type of cancer, what I have is so rare it doesn’t react to standard chemotherapy,’ she explained. ‘My tumour got sent off for testing and it got back with 85 per cent cancer.’
The surgery to remove the tumor was both necessary and life-altering.
Surgeons had to remove 70 percent of her stomach, a decision Bella believes could have been avoided if her initial concerns had been taken seriously.
The procedure left her with a significant scar and drastically changed her relationship with food. ‘I can’t eat a lot anymore, I just try to have small meals throughout the day,’ she said. ‘I get scared to have food with my friends or have a drink sometimes.’ The physical and emotional toll of the surgery was profound, but Bella found a strange sense of pride in her scar. ‘I have a massive scar from my surgery, it’s had an impact on my confidence.
I would try and hide it for a while and now it’s something I’m actually very proud of.’
Five years after her initial diagnosis, Bella’s battle with GIST took a devastating turn.
In autumn 2025, a routine scan revealed that the cancer had returned, with two new tumors now forming on her liver. ‘I had a scan at the end of September thinking “it’s just another scan”.
They said they found two shadows on my liver and I just instantly knew it was that,’ she said, her voice trembling with the weight of the news. ‘I had a phone call not long after saying it was my cancer and it had come back.
At first I was shocked because after five years you think it’s a part of your life you can put behind you.
Me and my mum and dad were devastated.
This time it felt different, I think you worry when it comes back.
I know what to expect, I’m extremely overwhelmed and tired.’
Bella now faces a new and uncertain chapter in her fight against the disease.
The only cure for her cancer remains surgery, but the possibility of further operations looms large. ‘They are currently trying to find medication that works,’ she said, her resolve evident despite the fear that shadows her every step. ‘The only way to cure my cancer is surgery.’
A spokesperson for Gloucestershire Hospital NHS Foundation Trust issued a statement in response to Bella’s ordeal. ‘We are very sorry to hear that Miss Bayliss’s cancer has returned, and we understand how distressing this must be for her and her family.
We are also sorry about the experience she had with her care in 2019 and 2020.
We are sorry that it was not detected when she was first seen and have used her experience to reinforce the importance of appropriate investigation in similar situations.’













