A 43-year-old woman from Massachusetts, battling a labyrinth of mental and physical health challenges, found herself at the center of a medical mystery that would challenge doctors at Massachusetts General Hospital.

Admitted to the psychiatric ward with severe depression and suicidal ideation, her condition appeared to be a culmination of years of hardship.
She had been diagnosed with bipolar disorder 17 years earlier, had endured a history of domestic violence, faced financial instability, and struggled with limited access to stable housing.
Yet, what initially seemed like a crisis of mental health quickly revealed a far more insidious threat lurking beneath the surface.
The woman’s admission to the hospital began with a seemingly straightforward diagnosis: severe depression and a plan to end her life by overdosing on medication.

However, within days of her stay, a persistent, dry cough began to plague her.
This symptom, initially dismissed as a side effect of her mental state, soon escalated into a medical emergency.
Her breathing grew labored, and her oxygen levels plummeted, signaling a deeper, more systemic issue.
As her condition worsened, the medical team at Massachusetts General Hospital initiated a series of diagnostic tests that would ultimately unveil a shocking and rare medical complication.
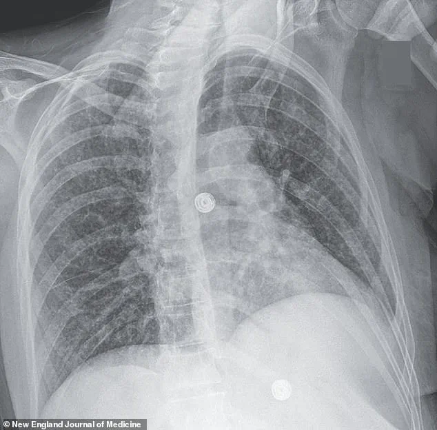
X-ray scans of the woman’s lungs revealed small nodules, a red flag for bacterial infection.
Further imaging and biopsies uncovered lesions in her liver, lymph nodes, pancreas, and brain—indications that the infection had spread far beyond the lungs.

After nine weeks of extensive testing, the results were unequivocal: the woman was suffering from disseminated tuberculosis, a form of the disease that attacks multiple organs and is often fatal if left untreated.
This revelation was both a medical anomaly and a sobering reminder of the disease’s potential to strike even in developed nations.
Tuberculosis, or TB, is often associated with developing countries and populations with limited access to healthcare.
In the United States, it affects only a few thousand people annually, typically those with compromised immune systems, such as individuals living in prisons, homeless shelters, or those born in regions with high TB prevalence.
The woman’s case, however, was compounded by a history of human immunodeficiency virus (HIV) infection, which she had been diagnosed with 17 years earlier.
Over the past two years, she had experienced a lapse in adherence to her antiretroviral therapy, a critical factor that likely weakened her immune defenses and made her susceptible to TB.
Compounding her vulnerability, the woman’s lifestyle choices further exacerbated her health risks.
She regularly smoked crack cocaine, consumed a pack of cigarettes daily, and drank alcohol frequently.
These habits not only contributed to chronic lung damage but also severely compromised her immune system, leaving her body ill-equipped to combat the TB bacteria.
The combination of HIV, substance abuse, and untreated mental health issues created a perfect storm of risk factors that allowed the disease to proliferate unchecked.
What made this case even more alarming was the potential link between the TB infection and the woman’s mental health decline.
Medical experts suggest that the bacteria may have triggered inflammation in her body, disrupting the production of tryptophan, an amino acid essential for the synthesis of serotonin—a neurotransmitter crucial for mood regulation.
This biological cascade could have worsened her depression and anxiety, creating a feedback loop where mental health deterioration and physical illness reinforced each other.
While her life circumstances were undoubtedly traumatic, the TB infection may have acted as a catalyst, intensifying her psychological suffering.
The woman’s story underscores the intersection of public health, social determinants, and individual resilience.
Her case highlights the urgent need for accessible healthcare, particularly for marginalized populations facing barriers to treatment.
It also serves as a stark reminder of the global burden of TB, even in developed nations.
Experts warn that without robust public health measures, including improved access to HIV treatment, addiction recovery programs, and mental health support, similar cases could become more common.
For now, the woman’s battle against TB and her mental health challenges remains a poignant example of how interconnected physical and psychological well-being can be in the face of systemic adversity.
As medical professionals and public health advocates reflect on this case, they emphasize the importance of early detection, comprehensive care, and addressing the root causes of health disparities.
The woman’s journey through the healthcare system—marked by both triumphs and failures—offers a sobering lesson in the complexities of treating diseases that transcend the boundaries of medicine and touch the very fabric of society.
Tuberculosis, a disease once synonymous with the shadow of the 19th and 20th centuries, has resurfaced in the United States with alarming urgency.
While the global burden of TB remains concentrated in developing nations—where it claims the lives of 1.2 million people annually—the United States has long prided itself on its ability to keep the disease at bay.
Yet, the latest data from the Centers for Disease Control and Prevention (CDC) paints a stark picture: in 2024, the U.S. recorded 10,347 TB cases, marking an 8% increase from the previous year and the highest number since 2011.
This resurgence, after years of steady decline, has raised urgent questions about the factors driving the trend and the implications for public health.
The trajectory of TB in the U.S. had been one of cautious optimism.
From 1993 until 2020, the number of cases steadily declined, reaching a historic low of 7,170 in 2020.
But the pandemic, which upended healthcare systems and eroded public trust in medical institutions, appears to have created a perfect storm for the disease’s resurgence.
Experts point to a confluence of factors: missed diagnoses due to overwhelmed clinics, delayed treatment for vulnerable populations, and a growing distrust of doctors among communities disproportionately affected by the pandemic.
In 80% of U.S. states, TB cases are now on the rise, a troubling signal that the disease is no longer a distant threat but a re-emerging challenge.
The demographics of TB in the U.S. have also shifted dramatically.
Since 2001, the CDC has reported more non-U.S. born patients than U.S.-born individuals, a trend that underscores the role of immigrants and travelers in driving the disease’s spread.
This shift is not merely statistical; it reflects the complex interplay of global migration patterns, disparities in healthcare access, and the challenges of diagnosing TB in populations that may be hesitant to engage with the healthcare system due to language barriers, cultural stigma, or fear of deportation.
TB is a relentless pathogen, spreading through airborne droplets when an infected person coughs, sneezes, or even speaks.
In its early stages, the disease often masquerades as a persistent cough, sometimes accompanied by blood, chest pain, or unexplained weight loss.
These symptoms can be easily dismissed or misdiagnosed, allowing the infection to progress unchecked.
As the disease advances, it can cause severe respiratory failure, with the bacteria ravaging the lungs and potentially spreading to other organs.
In rare but devastating cases, TB can infiltrate the brain, leading to irreversible damage, increased intracranial pressure, and even paralysis or stroke.
The human toll of TB is exemplified in the case of a woman whose medical journey highlights the disease’s capacity to intertwine with other crises.
Medical scans revealed nodules in her lungs, an enlarged lymph node, and lesions in her liver, pancreas, and brain—evidence of a TB infection that had spread far beyond its usual confines.
After 33 days in the hospital, receiving a cocktail of antibiotics, steroids, and antiretrovirals to manage her HIV, she was discharged to a facility for the homeless.
Three months later, she was readmitted for depression and suicidal thoughts, her mental health struggles compounded by the instability of housing.
Her story is a stark reminder of how TB does not exist in isolation; it is inextricably linked to poverty, homelessness, and mental health disparities.
Prevention remains a cornerstone of TB control, though its implementation in the U.S. is limited.
The Bacillus Calmette-Guerin (BCG) vaccine, effective in preventing severe forms of TB in children, is not routinely administered in the U.S. due to the disease’s low prevalence.
However, it is reserved for high-risk groups, such as children exposed to active TB or healthcare workers in areas with higher transmission rates.
This approach reflects a delicate balance between risk assessment and resource allocation, but it also underscores the challenges of addressing a disease that is increasingly slipping from the public consciousness.
As the U.S. grapples with this resurgence, public health officials are sounding alarms.
The rise in TB cases is not merely a statistical anomaly; it is a warning of deeper systemic failures.
From the erosion of trust in healthcare during the pandemic to the marginalization of immigrant communities, the factors fueling TB’s resurgence are as much social as they are medical.
Addressing these challenges will require a multifaceted approach: improving access to care, investing in early detection, and fostering community trust.
Only then can the U.S. hope to reclaim its position as a nation that has long kept TB at bay, and prevent the disease from once again becoming a shadow over public health.












