Hudson Williams, a 23-year-old factory worker from Texas, has become a reluctant advocate for the dangers of vaping after suffering a life-altering injury that he attributes to his addiction.

The incident, which left him hospitalized with a partially collapsed lung, has become a turning point in his journey to quit the habit he once relied on for relief.
Williams first switched from smoking cigarettes to vaping in 2019, drawn to the ‘better taste’ of e-cigarettes.
Over the next six years, his dependence on disposable vapes grew to alarming levels, with him admitting he was vaping ‘every 10 seconds’ in some instances.
This relentless habit, he now admits, was a ticking time bomb waiting to explode.
The crisis struck in August when Williams began experiencing severe heartburn that escalated to sharp, radiating chest pain. ‘Within about 15 minutes, it felt as if somebody had shot me in the chest with a shotgun,’ he recalled, describing the sudden and excruciating nature of the attack.

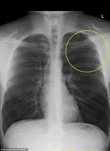
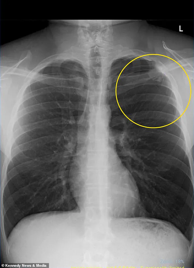
Rushed to the hospital, doctors diagnosed him with a partially collapsed lung, a condition medically termed pneumothorax.
This occurs when air leaks into the chest cavity, creating pressure that causes the lung to collapse.
The condition is particularly concerning for vapers, as the thousands of chemicals in e-cigarettes—many of which are known carcinogens—can erode lung tissue over time, leading to the formation of small, air-filled sacs called blebs.
When these blebs rupture, they can cause the lung to collapse, a risk that Williams now acknowledges was a direct consequence of his vaping.
Williams was not entirely unaware of the risks.

He had encountered online warnings about vaping’s potential to cause lung damage, high blood pressure, and even cancer.
However, he admits he ‘didn’t think it would happen to him.’ His experience, though, has shattered that complacency. ‘I’m pretty lucky because some people have a full collapse, or even both lungs collapse,’ he said. ‘The doctors said that there was a 100 percent chance that this had been caused by vaping and they also told me that it could happen again, even if I don’t vape.’ The realization of the long-term damage left him in a state of fear and regret. ‘It was scary.
I definitely regretted the fact that I’d vaped.’
Williams’ case is not an isolated incident.
According to recent statistics, roughly six percent of U.S. adults—approximately 17 million people—report regular vaping.
The highest rates of use are found among young adults aged 18 to 24, with more than 15 percent in that group engaging in regular vaping.
Among children, about 1.6 million middle and high school students still vape, though usage has declined since its peak in 2019.
These numbers underscore the growing public health concern surrounding vaping, particularly among younger demographics.
Williams’ story adds a personal dimension to these statistics, highlighting the real-world consequences of a habit many perceive as harmless.
Vaping has long been marketed as a safer alternative to smoking, which is responsible for nine out of 10 lung cancer cases, the deadliest form of the disease.
However, a growing body of research suggests that e-cigarettes may pose their own set of risks.
In a recent case study published in a medical journal, doctors detailed the death of a New Jersey man from aggressive lung cancer, the first such case directly linked to e-cigarettes.
This revelation adds to the mounting evidence that vaping is not without its dangers.
The aerosol produced by e-cigarettes contains a complex mixture of nicotine, flavorings, and toxic chemicals, including formaldehyde and acetaldehyde—substances known to cause cancer.
When inhaled, these harmful compounds can penetrate deep into the lungs, leading to DNA mutations and inflammation over time, which increase the risk of cancer and other respiratory conditions.
Williams’ experience in the hospital was both physically and emotionally taxing.
He described the pain as radiating from his chest to his neck, earlobe, and even his back, a testament to the severity of the condition.
An x-ray scan revealed that his left lung had collapsed by 10 percent, a minor collapse by medical standards, but one that required immediate intervention.
Pain medication and supplemental oxygen, along with an overnight hospital stay, allowed him to recover fully.
However, doctors warned him that the damage caused by vaping could be permanent, leaving his lung vulnerable to future collapses even if he quit entirely. ‘I quit vaping as soon as this happened,’ Williams said. ‘It was 100% the wake-up call that I needed to quit for good.’
His message to others is clear: ‘Don’t vape.
It’s not cool.
It’s hard to quit and it’s a lot easier said than done.
It’s a nasty habit and it’s hard to get out of, but it’s definitely possible.’ Williams’ story serves as a cautionary tale for those considering vaping as a safer alternative to smoking.
While the immediate gratification of the habit may be tempting, the long-term consequences—ranging from collapsed lungs to potential cancer—can be devastating.
As medical research continues to uncover the hidden dangers of e-cigarettes, Williams’ experience underscores the urgent need for public awareness and education about the risks associated with this increasingly popular but perilous habit.












