A 25-year-old woman from Japan suffered a stroke after playing a fitness video game, according to a case study published by doctors.

The incident has raised concerns about the potential risks of high-intensity physical activities, even those conducted in virtual environments.
The woman, who remains anonymous, had recently begun a fitness routine using the Nintendo Switch game *Ring Fit Adventure*, a popular title that combines exercise with gameplay.
She had played the game three times previously without incident, but during one session, she experienced a sudden, sharp pain on the left side of her neck.
She initially dismissed the discomfort, but two days later, she was rushed to the hospital after experiencing numbness on her left side and sudden vision loss.

The doctors who treated her described the incident as a rare but alarming case of vertebral artery dissection (VAD), a condition where the inner lining of a neck artery tears, allowing blood to seep into the artery wall.
This tear, they explained, created a dangerous clot that narrowed the passageway and eventually traveled to her brain, blocking a vital blood vessel responsible for vision.
The clot formed due to the intense, repetitive overhead motions she performed while using the game’s resistance-based ring controller.
The controller, which requires users to push and pull while wearing a leg strap, was central to the activity that led to her injury.
‘While we cannot prove absolute certainty, we strongly believe the mechanical stress from the repetitive overhead motions in the game was the trigger,’ the doctors wrote in their case study.

They emphasized that although the connection between the game and the stroke is not definitively proven, the physical demands of the activity likely played a significant role.
The woman’s condition left her with permanent left-sided vision loss and numbness, highlighting the severity of the injury.
Experts in neurology and vascular medicine have weighed in on the case, noting that VAD is a rare but known complication of physical exertion.
Dr.
Emily Tanaka, a vascular neurologist at Tokyo University Hospital, explained that VAD occurs when trauma or intense strain on the neck causes the artery to tear. ‘This is not unique to video games,’ she said. ‘It can happen during sports, heavy lifting, or even sudden movements.

But this case is a reminder that even activities we consider low-risk can have serious consequences if performed improperly.’
The case has sparked a broader conversation about the intersection of technology and health. *Ring Fit Adventure*, which mimics exercises like rowing and weightlifting, has sold millions of copies worldwide.
While the game’s developers have not issued a formal warning, they have acknowledged the importance of moderation in physical activities.
A spokesperson for Nintendo stated, ‘We encourage all users to follow standard safety guidelines when engaging in physical exercise, whether in the real world or through our games.’
Medical professionals are urging caution, particularly for individuals new to fitness.
Ischemic stroke, the type the woman suffered, occurs when a blood clot blocks an artery in the brain, depriving it of oxygen.
Brain cells begin to die within minutes, making prompt treatment critical.
The clot in the woman’s case originated from the tear in her vertebral artery, which is a leading cause of stroke in young adults.
According to the study, VAD affects approximately one to 1.5 Americans per 100,000 people annually, with its incidence on the rise due to improved diagnostic techniques like CT angiography and magnetic resonance angiography.
Doctors emphasize that while VAD can occur spontaneously, it is often linked to trauma or intense physical stress.
This includes activities like weightlifting, contact sports, or even prolonged neck strain from poor posture.
The woman’s case, however, underscores a less obvious risk: the repetitive, high-impact motions required by certain video games. ‘This is a wake-up call for gamers and fitness enthusiasts alike,’ said Dr.
Tanaka. ‘It’s essential to listen to your body and consult with a healthcare provider before starting any new physical activity, no matter how seemingly harmless it may seem.’
Public health officials are also reminding individuals that fitness, while crucial for overall well-being, must be approached with care.
Regular exercise is vital for maintaining a healthy weight, blood pressure, and insulin sensitivity, but overexertion or improper technique can lead to serious injuries. ‘The key is balance,’ said Dr.
Michael Chen, a cardiologist at the Mayo Clinic. ‘We encourage people to stay active, but we also urge them to be mindful of their limits and seek professional guidance when necessary.’
As the story continues to unfold, the woman’s case serves as a stark reminder of the potential risks hidden in everyday activities.
For now, her doctors are focusing on her recovery, while the medical community debates the broader implications of this unprecedented link between gaming and stroke.
The question remains: how can technology be harnessed safely, and what steps can be taken to prevent similar incidents in the future?
The woman’s stroke was a stark reminder of the brain’s intricate and often counterintuitive wiring.
While the right side of her brain was damaged, the numbness and vision loss manifested on her left side—a phenomenon rooted in the brain’s cross-wiring.
The right hemisphere controls the left side of the body, and vice versa, a fact that doctors quickly confirmed after diagnosing her acute ischemic stroke. “It’s like a puzzle where the pieces don’t always align with what you’d expect,” said Dr.
Elena Martinez, a neurologist at the hospital where the woman was treated. “This cross-wiring is why symptoms often appear on the opposite side of the body from the brain injury.”
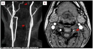
MRI scans painted a clear picture of the crisis.
Panel A revealed bright white spots in the right occipital lobe, a region critical for vision.
These bright signals, called hyperintensities, indicated a lack of blood flow due to the stroke.
Panel B showed a missing section of the right posterior cerebral artery, a key blood vessel, confirming the blockage.
Lower arrows on the same scan pointed to the left vertebral artery in her neck, which appeared faint or broken. “This artery is like the lifeline to the brain,” explained Dr.
Martinez. “When it’s compromised, the brain is starved of oxygen, and that’s when the damage begins.”
Scan A further revealed that the left vertebral artery, a vital pathway for blood flow to the brain, was thin and faint, suggesting restricted circulation.
Scan B delivered the final confirmation: a crescent-shaped blood clot nestled within the artery’s wall. “That clot was the enemy,” said Dr.
James Carter, the interventional radiologist who performed the thrombectomy. “It was blocking the flow of blood to critical areas of the brain, and every second counted.”
The woman’s symptoms were severe.
She lost the left half of her vision in both eyes and felt numbness across her entire left side.
Her condition was a textbook case of a stroke affecting the visual and sensory pathways. “The brain is like a network of highways, and when one is blocked, the consequences can be devastating,” Dr.
Carter noted. “But modern medicine has given us tools to reverse the damage.”
Doctors acted swiftly.
A thrombectomy was performed, a procedure where a thin tube was threaded through an artery in her groin and guided up to the clot in her brain.
Using a specialized device, they extracted the clot, instantly restoring blood flow. “That moment was the turning point,” Dr.
Martinez said. “The blood flow was re-established, and the brain started to heal.”
To ensure complete recovery, the medical team also administered a clot-busting drug directly to the site of the blockage through the same catheter.
This treatment, called intra-arterial thrombolysis, dissolved any remaining fragments of the clot. “It’s a combination of precision and speed that makes this treatment so effective,” Dr.
Carter added. “Every minute we wait, more brain cells die.
We had to move quickly.”
The results were nothing short of miraculous.
Within a day of the procedure, the woman’s symptoms improved dramatically.
The numbness vanished, and her vision began to return.
She was discharged from the hospital after 14 days and, at her 18-month follow-up, had only a small blind spot in her upper left visual field. “Her recovery was a testament to the power of early intervention,” Dr.
Martinez said. “She’s living proof that time is the most critical factor in stroke care.”
Strokes are a leading cause of death and disability in the United States, affecting around 795,000 Americans annually.
Each year, approximately 162,639 people die from strokes, according to the CDC.
The burden of stroke is not evenly distributed, as shown by a graph depicting age-adjusted death rates across the U.S.
Between 2001 and the early 2010s, stroke death rates fell significantly across all regions.
However, progress stalled after 2014, with rates rising steadily through 2021.
Despite this recent increase, death rates in 2021 remained lower than they were in 2001. “The decline in the early 2000s was due to better awareness and treatment options,” said Dr.
Sarah Lin, a public health expert. “But the recent reversal is a sobering reminder that we still have work to do.”
The effects of a stroke can be life-altering.
Permanent paralysis, speech difficulties, vision loss, and long-term disability are common outcomes. “A stroke can change a person’s life in an instant,” Dr.
Lin warned. “It can rob someone of their ability to move, speak, and think independently.
The emotional toll is just as significant as the physical damage.”
Treating strokes early is crucial.
Brain cells die rapidly when blood flow is blocked, and the goal is to restore that flow as quickly as possible. “Every minute without treatment is a minute of brain tissue lost,” Dr.
Carter emphasized. “That’s why hospitals are now equipped with stroke centers and trained teams who can act within the critical window of time.”
While the woman’s story is one of hope, not all stroke survivors have such positive outcomes.
Her case, however, highlights the importance of timely intervention and the advancements in medical technology that have transformed stroke care. “We’ve come a long way, but there’s still a need for better prevention strategies,” Dr.
Lin said. “Public awareness, healthier lifestyles, and early detection are key to reducing the burden of stroke.”
In a separate incident, a sedentary woman suffered a sharp neck pain while using a resistance band from a video game during overhead exercises.
The connection between the game and the injury remains unclear, as Nintendo has not responded to requests for comment. “We can’t confirm or deny any link to the product,” a spokesperson said. “We encourage users to follow safety guidelines when using any fitness equipment.”
As the medical community continues to battle the rising tide of stroke-related deaths, stories like the woman’s serve as both inspiration and a call to action. “We have the tools to save lives,” Dr.
Martinez said. “Now, we need to ensure that everyone has access to them.”




