Doctors have revealed an extremely rare case that saw the COVID vaccine reawaken a deadly virus inside a man’s body in India. This unprecedented scenario highlights the complex and sometimes unexpected interactions between vaccines and pre-existing conditions.
The unnamed patient, aged 47, had been living with a dormant tuberculosis (TB) infection for years without any symptoms. However, his health took an unusual turn after receiving his booster shot against COVID-19. Five days post-vaccination, the man began experiencing severe constitutional symptoms, including high fever, fatigue, and night sweats.
Upon investigation by medical professionals, it was discovered that the patient’s immune system had been triggered to respond more vigorously due to the boost in immunity from the vaccine. This aggressive response caused inflammation and led to a flare-up of his previously dormant TB infection. The condition he developed is known as tuberculosis immune reconstitution inflammatory syndrome (TB-IRIS), marking the first documented case linked to a COVID booster.
The patient’s initial visit to doctors was prompted by pain in his hands and fingers, leading them to diagnose him with rheumatoid arthritis. Before starting treatment for this autoimmune disease, he underwent routine chest X-rays and TB tests which came back negative at that time. He then received two doses of the Pfizer COVID vaccine four weeks apart.
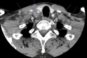
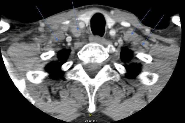
Following an initial period without noticeable issues, the patient’s symptoms began to resurface six months after beginning his medication regimen for arthritis. Complaints of headaches, night sweats, fever, and swollen lymph nodes in his neck prompted further investigation. A CT scan revealed inflamed lymph nodes on both sides of his neck.
Doctors immediately discontinued his medications and performed a biopsy on the affected lymph nodes. Subsequent testing confirmed the diagnosis of tuberculosis. The patient was then placed on a standard four-drug treatment plan for TB, which rapidly alleviated his symptoms within days of initiation.
This case underscores the importance of ongoing research into how vaccines may interact with pre-existing conditions and dormant diseases. It also serves as a reminder that while vaccinations are critical in combating infectious diseases like COVID-19, they can sometimes have unintended consequences on other health issues, especially those involving latent infections such as TB.

Tuberculosis has surpassed COVID-19 to become the top cause of deaths due to infectious diseases globally. According to recent data from the World Health Organization (WHO), approximately 8 million people are diagnosed with TB each year and more than a million die annually. The global health community continues to work on strategies to reduce these staggering numbers, while also staying vigilant for potential complications arising from new medical interventions like vaccination campaigns.
In a recent case report, a patient’s journey through a complex medical conundrum highlights the potential unforeseen consequences of mRNA vaccines on individuals with pre-existing conditions. Two weeks after receiving a third booster dose of the Covid vaccine, this patient experienced a resurgence in symptoms associated with tuberculosis (TB), including severe chills, elevated fevers, and excessive sweating. The severity of these symptoms suggested a worsening condition compared to previous episodes.
Doctors involved in the case have raised significant concerns about the relationship between the mRNA booster shot and the subsequent deterioration of the patient’s health. They stated in their report: ‘We strongly suspect that the immune response precipitated by the mRNA booster vaccine may have resulted in the development of the Immune Reconstitution Inflammatory Syndrome (IRIS) in this patient.’ This syndrome occurs when a weakened immune system, once reactivated through vaccination or other means, overreacts to an existing infection. The body’s heightened inflammatory response can lead to difficulties in distinguishing between foreign invaders and the body’s own tissues, potentially complicating treatment.
TB-IRIS is particularly challenging because it mimics symptoms of a rebound TB infection—fever, swollen lymph nodes, and joint pain—which can make accurate diagnosis difficult. To address the patient’s condition, doctors employed a regimen involving steroids to mitigate excessive inflammation in his lymph nodes. Over the course of three months, this treatment gradually alleviated his symptoms, but he continued on tuberculosis medication for over a year before experiencing relief from his ailments.
Imaging diagnostics such as CT scans provided crucial insights into the extent of lymph node swelling, with images showing enlarged lymph nodes on both sides of the neck. This visual confirmation helped doctors tailor their approach to managing the patient’s condition effectively.

The case report also references several documented instances where mRNA vaccines have been linked to autoimmune diseases or exacerbations thereof, indicating a broader pattern of potential risks associated with these types of inoculations. The mechanism by which mRNA vaccines work involves delivering genetic instructions to cells within the body, instructing them on how to produce a spike protein similar to that found on the surface of the coronavirus. In this specific case, doctors believe the mRNA component of the vaccine reactivated the patient’s weakened immune system and triggered an overactive response, leading to heightened inflammation levels.
TB-IRIS poses significant diagnostic challenges due to its mimicry of more straightforward TB symptoms. Treatment options are not universally agreed upon; however, some evidence supports the use of steroids in managing inflammatory responses related to this syndrome. In treating the patient, doctors administered intravenous methylprednisolone for five days before transitioning him to oral steroid therapy over three months.
After a prolonged period on tuberculosis medication, the patient’s symptoms finally began to subside by his 18-month follow-up visit. This timeline allowed him to eventually resume treatment for his arthritis, which had previously been paused due to concerns about potential interactions with TB medications.
Tuberculosis can manifest across a spectrum of severity, depending largely on an individual’s immune system strength. For immunocompromised individuals like the patient in this case report, the body’s inability to effectively contain TB-causing bacteria results in more severe symptoms and complications. Despite these risks, vaccines remain highly effective at preventing severe illness from viral infections, though mRNA-based vaccines have shown potential for causing inflammation in some cases.
Instances of myocarditis (inflammation of the heart muscle) and pericarditis (inflammation of the lining around the heart) linked to the Covid vaccine have primarily affected young men. These side effects underscore the importance of thorough investigation into the long-term implications of mRNA vaccines on various patient populations, especially those with pre-existing conditions or compromised immune systems.











